牙齒撞傷需冷靜 找回斷牙保持潮濕盡快就醫

奇美醫學中心牙醫部牙髓病科主治醫師賴曉錞提醒,牙齒撞傷後最重要是維持冷靜,找回斷牙,保持潮濕並盡快就醫。

「男童與同學打籃球碰撞,門牙缺角」、「騎腳踏車遭車撞,跌倒牙齒斷3根」,意外造成牙齒被撞斷的事件時有所聞,有時甚至牽扯到賠償問題,到底牙齒被撞傷後如何治療?只能做假牙,甚至拔掉斷牙而後植牙嗎?奇美醫學中心牙醫部牙髓病科主治醫師賴曉錞說,保持冷靜、找回斷牙、保持潮濕,並盡快至醫療院所進行專業評估與治療,除了針對牙齒的治療,牙醫師同時會視情況給予抗生素或止痛藥。

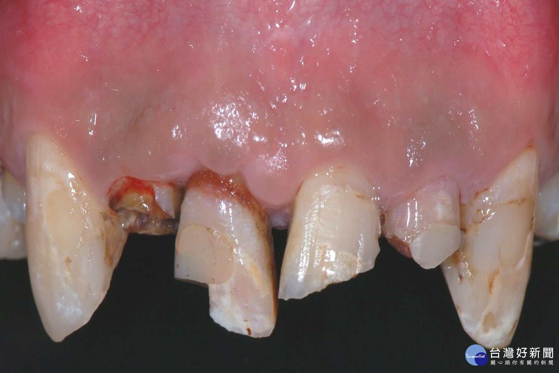
牙齒撞傷分成兩種,一種是整顆牙齒完整脫落,掉出齒槽骨;另一種是牙齒斷掉一部分,一部分還在口內。牙髓病科主治醫師賴曉錞說,整顆牙齒脫落,會因爲掉落口腔外的時間長短,及脫落牙齒的保存方式,讓治療方式和結果不同;牙齒斷裂,則視斷裂的情況和牙周韌帶是否受傷,來決定治療方式和預後。

牙醫師賴曉錞再說,意外的當下,若是整顆牙齒脫出,應盡快找到掉落的牙齒並立即放保存溶液中,例如鮮奶、生理食鹽水或清水。若找不到保存溶液,牙齒表面是清潔的,也可含在嘴中,以口水保持牙齒潮濕,但年紀尚小的孩童不適合此方式,以免誤吞。同時應盡快至牙科或醫療院所,由牙醫師將脫落的牙齒固定到原本的位置。

若脫落的牙齒保存在適當的溶液中,並能在一小時內放回口內原位,牙齒有比較高的機率能保留下來,但後續需要定時且長期的追蹤。牙髓病科主治醫師賴曉錞認為,若牙齒脫落後保存不當、牙齒脫落時間過長、牙齒表面受損嚴重等,可能在追蹤的過程中需要做根管治療,甚至因為後續牙根發炎嚴重導致牙根吸收而需拔除。

 

本站聲明:網站內容來源於台灣好新聞網絡,如有侵權,請聯繫我們,我們將及時處理

 

【其他文章推薦】

※聴說植物軟膠囊會比較好吸收,真的是這樣嗎?